IMPORTANTE: NÃO realizamos NENHUM TRATAMENTO GRATUITO, cobramos um preço justo, Agende agora sua Avaliação

Tratamentos Dentários

Seu sorriso em boas mãos para você sorrir sem medo!

CRO. 148445

Dra. Beatriz Masetti

Dra. Beatriz Masetti Cirurgiã Dentista, clínica geral e desenvolvendo-se na especialidade de Implantodontia e Protesista, buscando reabilitar sorrisos e realizar sonhos através da renovação da autoestima e confiança para sorrir.

Habilidades: Emergências protéticas, Cirurgias, Restaurações, Limpeza, Clareamento, Próteses Removíveis e Fixa, Implantes Dentários e Protocolo.

⭐ Sócia-proprietária das clínicas NaBi Odontologia

Qualificações

  • Harmonização Orofacial
  • Cirurgia Oral Menor
  • Especialização em Implantodontia
  • Especialização em Próteses
  • Curso de Necropsia Forense
  • Acesso e acolhimento na atenção à saúde
  • Abordagens de adultos em situações de urgência e emergência na atenção básica
  • Simpósio de Odontologia Hospitalar
  • Liga acadêmica de Cirurgia e traumatologia Bucomaxilofacial

Tratamentos Dentários

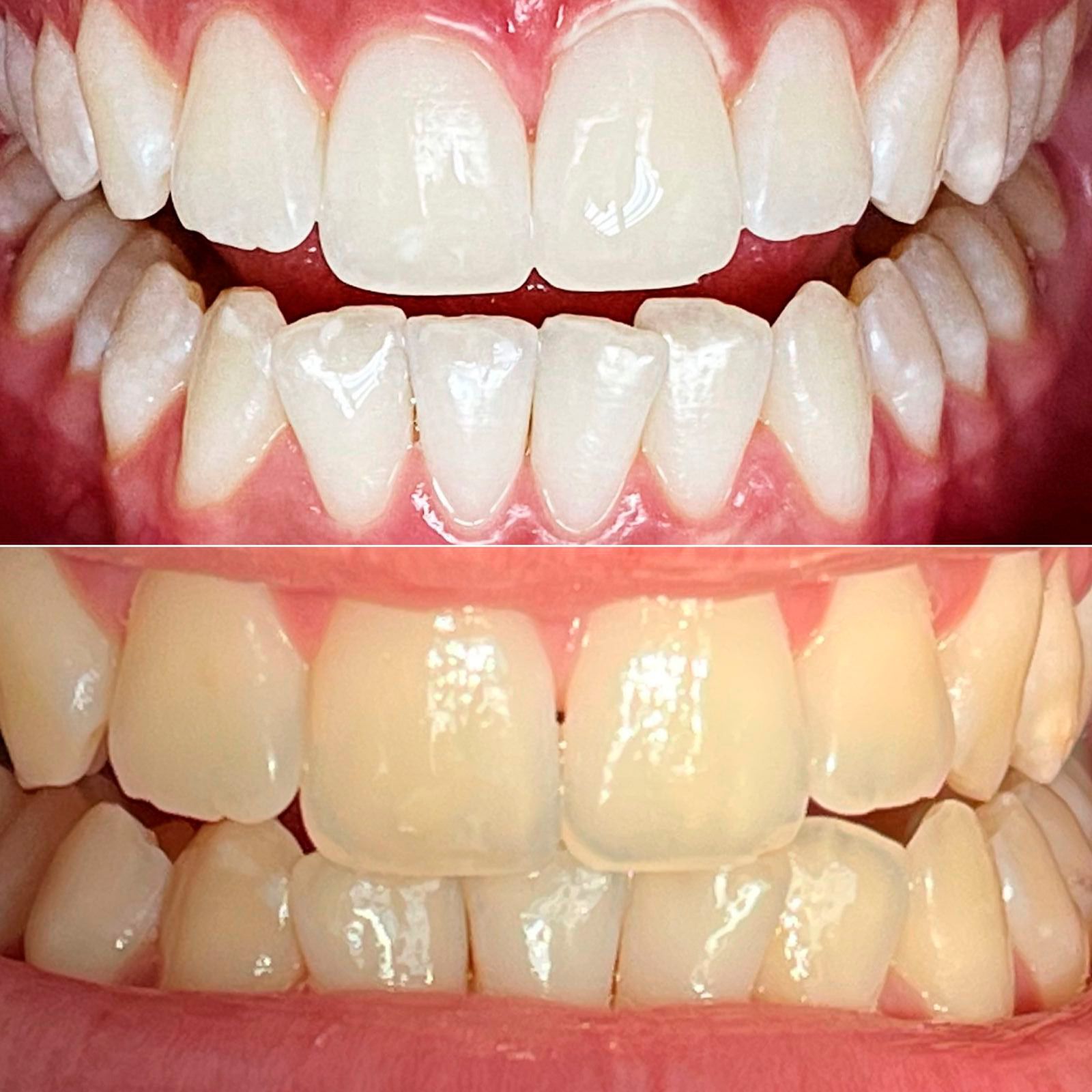
Excelência em tratamentos odontológicos para uma saúde bucal completa e um sorriso radiante. Nossos serviços incluem clareamento dental para um sorriso mais branco, limpeza e profilaxia para prevenir cáries e gengivite, restaurações dentárias para um sorriso renovado, tratamento completo de gengivite e periodontite, remoção eficaz de cáries, soluções para mau hálito e tratamento especializado de disfunção temporomandibular.

Agende sua consulta hoje mesmo!

Procedimentos

Próteses e Implantes

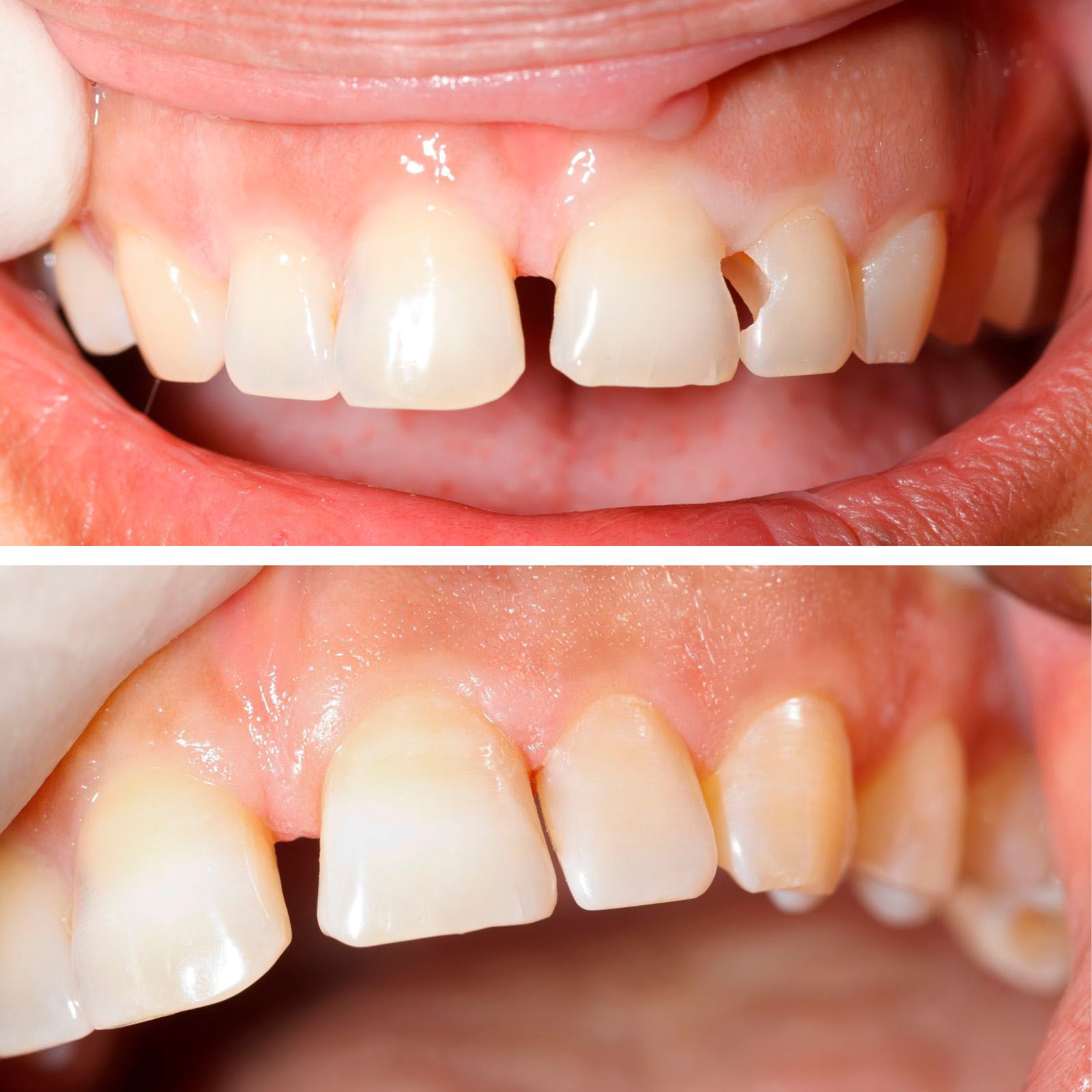
As próteses e implantes dentários representam importantes intervenções na odontologia moderna, visando restaurar a função mastigatória, estética e a saúde bucal dos pacientes. Esses tratamentos são realizados para substituir dentes ausentes, restaurar a capacidade de mastigação e melhorar a qualidade de vida dos indivíduos.

Agende uma consulta para descobrir como os implantes dentários podem revolucionar sua saúde bucal e qualidade de vida!

Procedimentos
Facilitamos e oferecemos

Vantagens para Você

Sorria sem preocupações, estamos aqui para cuidar do seu melhor cartão de visita: o seu sorriso! Marque já a sua consulta e sorria com confiança!

Horário Fléxivel

Horário de atendimento flexível e aos sábados.

Convênios *

* somente na unidade da Chácara Califórnia.
OdontoPlan, Rede Odonto Empresas, Odonto Life, Dental Uni, Idela Odonto, Dental Plus.

Condição Especial no PIX

Pague no PIX à vista e aproveite as condições, consulte-nos!

Localização

Temos duas unidades na capital de São Paulo e estão bem localizadas, veja abaixo.

Formas de pagamento

Cartão de crédito, Débito, Pix e Financiamento bancário através da Financeira CAPIM em até 24x.

Localização

UNIDADE 1

NaBi Odontologia

Endereço

R. Serra de Botucatu, 2435 – Chácara Califórnia
03417-000 – São Paulo/SP

Dados de Contato

Seg. a Sex. 08:30h – 20h
Sábado. 08:30h – 14h
Temos horários flexíveis, consulte-nos!

UNIDADE 2

NaBi Odontologia

Endereço

Av. Alfredo Ribeiro de Castro, 502 – Eng. Goulart
03725-010 – São Paulo/SP

Dados de Contato

Seg. a Sex. 08:30h – 20h
Sábado. 08:30h – 14h
Temos horários flexíveis, consulte-nos!

Entre em contato e/ou Agende sua Consulta

Union Dental
© DRA.BEATRIZ MASETTI. Todos os direitos reservados.